Health Articles

Result 10 - of

Life Cancer Center

Vejthani Hospital Provides Lymphoma Treatment in Thailand
Vejthani Hospital’s Life Cancer Center in Bangkok, Thailand provides the latest diagnosis techniques and treatments for all types of lymphoma.

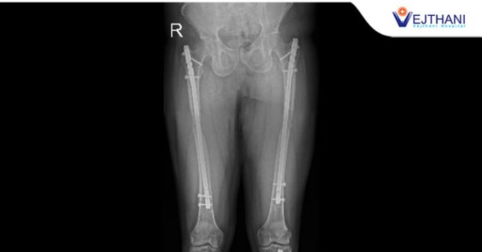
Orthopedics Center

Limb Lengthening at Vejthani Hospital in Thailand
Limb lengthening is performed at Vejthani Hospital in Thailand for patients who have bone discrepancy, abnormalities or skeletal dysplasia.

Cardiac Center

Abnormal Heart Rate above 100 poses the Risk of Fainting caused by Cardiac Arrhythmia
Generally, people have a resting heart rate of 50–100 beats per minute. However, when the heart rate goes over 100 beats per minute without physical movement, one of the following symptoms of a cardiac arrhythmia may arise:

Neuroscience Center

Treat Ischemic Stroke promptly to reduce the risk of Paralysis or Paresis
Cerebrovascular disease or strokes are the leading causes of paralysis or paresis. While people with the disease tend to suffer from sudden attacks, getting medical attention in time increases the chance of a cure.

Orthopedics Center

4 Indications of Tennis Elbow in Office Workers, a Persistent Elbow Pain to Watch Out For
Office workers who are constantly sitting in front of the computer for long hours without physical movement or those who repetitively

Neuroscience Center

Brain AVM – Rare but a Fatal Condition to be Aware of
Severe headache, seizures, or pain in one area of the head, or vision loss, difficulty speaking, or severe unsteadiness could indicate a critical medical condition like Brain AVM or arteriovenous malformation

Colorectal Surgery Center

Don’t Delay: Men Over 50 are at Risk for Colon Cancer, Undergo Colonoscopy to Detect Early Signs
Colon cancer can be caused by consuming food high in calories from fat and sugar. Having a high BMI or obesity plays a significant role in the development of colon cancer.

Spine Center

4 Self-care Measures to Prevent Back Pain
Prevent back pain with these 4 self-care measures. Learn exercises, stretches, and posture tips to improve your spine health and reduce discomfort. Incorporate these habits into your daily routine to maintain a healthy and pain-free back.

Neuroscience Center

Elevated Levels of Stress can increase the Likelihood of Developing Cerebrovascular Disease
Discover how higher levels of stress lead to a higher chance of developing cerebrovascular disease. Learn about the connection between stress and stroke and ways to mitigate the risk.
18639