บทความสุขภาพ

Result 1207 - of

Breath Test พ่นลมหายใจ ตรวจภาวะท้องอืดเรื้อรัง
ชีวิตกินด่วนของคนเมืองในปัจจุบัน หนึ่งในปัจจัยที่ทำให้หลายโรคก่อตัวขึ้นอย่างช้าๆ โดยไม่รู้ตัว ซึ่งกลุ่มโรคที่พบบ่อยและเด่นชัดกลุ่มหนึ่ง

เด็กเป็นผื่นภูมิแพ้ พ่อแม่ยอมแพ้ไม่ได้
เด็กคือวัยที่มีความละเอียดอ่อนโดยเฉพาะในด้านร่างกาย คนที่เป็นพ่อแม่จึงต้องคอยดูแลเอาใจใส่ ที่สำคัญต้องหมั่นสังเกตความผิดปกติของร่างกายอย่างสม่ำเสมอ

ฉลาดตั้งแต่เล็ก เลี้ยงเด็กด้วยทฤษฎีพหุปัญญา
สำหรับพ่อแม่แล้ว นอกจากความเป็นห่วงเรื่องความสมบูรณ์แข็งแรงของร่างกายลูกน้อย เชื่อว่าทุกคนก็คงอยากให้ลูกๆ มีความสมบูรณ์ในเรื่องของพัฒนาการด้วยเช่นกัน

เซ็กซ์ไม่ปลอดภัย ไวรัส HPV มะเร็งที่ไม่ได้เป็นแค่ผู้หญิง
สมัยนี้ใครที่ว่าโรคติดต่อทางเพศสัมพันธ์อย่างเอดส์ ว่าน่ากลัวที่สุดแล้ว คงต้องคิดใหม่ เพราะด้วยพฤติกรรม รสนิยมที่หลากหลายชัดเจนมากขึ้นของ

Safe สายตาให้ปลอดภัย บอกลาแว่น ไร้กรอบอย่างไร้กังวล
การใส่แว่นสำหรับคนที่มีปัญหาสายตาสั้น ยาว หรือเอียงนั้น สำหรับบางคนอาจไม่ใช่สิ่งที่ชอบนัก เพราะทำให้วิถีชีวิตแบบเดิม ๆ ที่เคยทำตอนไม่ใส่แว่นหายไป

รู้ก่อนปลอดภัย จาก ไวรัสตับอักเสบ
เมื่อปลายปี 2554 มูลนิธิโรคตับ ได้จัดโครงการ “เรารักตับ” ครั้งที่ 8 ให้ประชาชนทั่วไปเข้ารับการตรวจเอ็นไซม์ตับ(ALT) ฟรี มีโรงพยาบาลเอกชนทั่วประเทศเข้า

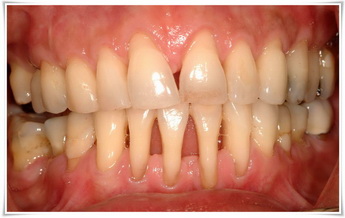
ศัลยกรรมปลูกถ่ายเหงือก…ทางเลือกเพื่อยิ้มสวย
รอยยิ้มพิมพ์ใจที่เหงือกและฟันมีสุขภาพดี ย่อมเป็นประการด่านแรกที่สร้างความประทับใจตั้งแต่แรกเห็น แต่สำหรับผู้ที่มีปัญหาช่องปาก

Manometry การตรวจการเคลื่อนไหวทางเดินอาหาร
นานแค่ไหนแล้ว ที่ร่างกายต้องทรมานกับอาการผิดปกติของทางเดินอาหารแต่ก็ตรวจหาสาเหตุไม่เจอ พบหมอก็แล้ว ส่องกล้องก็แล้ว เป็นเรื้อรัง ไม่หายซักที

กินอย่างไร ห่างไกลกรดไหลย้อน
เป็นที่ทราบกันดีว่า พฤติกรรมในการรับประทานอาหาร เป็นปัจจัยหนึ่งที่สำคัญของสาเหตุที่ส่งเสริมให้เกิดอาการกรดไหลย้อน ปวดแสบปวดร้อนบริเวณหน้าอกและล
12151230